セラミックインレー

セラミックインレー

部分的な詰め物による精密な審美修復

セラミックインレーの特徴

セラミックインレーは、虫歯などで失われた歯の一部分を精密に修復する「詰め物(インレー)」です。
特に奥歯の銀の詰め物が目立って気になる方や、より自然な見た目を求める方に選ばれている治療法です。

日野歯科医院では、インレー治療において材料の選択に特別なこだわりを持っています。
院長は30年以上の経験から、「インレーにはe-maxを第一選択とする」という明確な基準を設けています。
その理由は、e-maxが持つ優れた光学特性にあります。
光の乱反射が少なく、天然のエナメル質と驚くほど自然に馴染むため、詰め物と歯の境界が目立たない、理想的な仕上がりを実現できるのです。

なぜ部分修復にe-maxを選ぶのか?

「ジルコニアは確かに強度が高い。しかし、部分的な修復には向かない」

これが院長の明確な見解です。
ジルコニアは光を乱反射する性質があるため、部分的な詰め物として使用すると、どうしても色が浮いて見えてしまいます。
一方、e-maxは天然歯のエナメル質に極めて近い光の透過性を持つため、まるで治療していないかのような自然な仕上がりが可能なのです。

この材料選択の判断は、長年の材料研究と数千症例の臨床経験があってこそできる、職人としての確信に基づいています。

このような方におすすめ

  • 奥歯の銀の詰め物を白くしたい方
  • 口を大きく開けた時の金属が気になる方
  • 金属アレルギーが心配な方
  • できるだけ歯を削らずに治療したい方
  • 自然な仕上がりを求める方

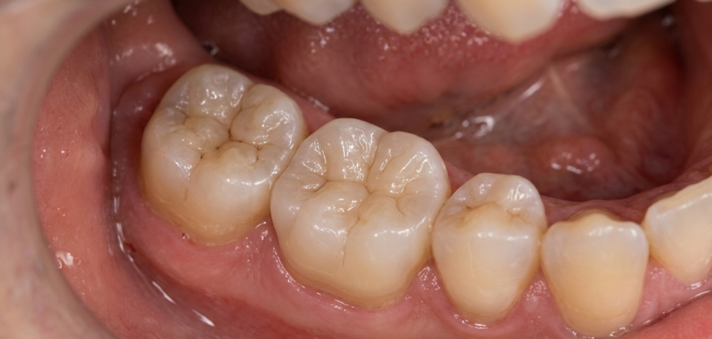
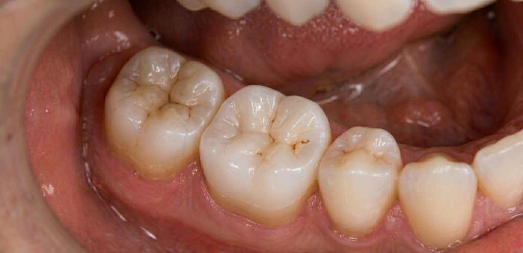
e-maxインレーの特徴

e-maxインレー

ジルコニアブリッジの特徴

評価・内容
審美性◎(天然歯と見分けがつかない)
強度〇(日常使用に十分な強度)
耐久性〇(適切なケアで長期使用可能)
健康面◎(エナメル質との親和性抜群)
適応範囲小臼歯~大臼歯
費用(自費診療)小臼歯 77,000円 / 大臼歯 88,000円(税込)
e-max(二ケイ酸リチウムガラスセラミック)は、インレー治療における第一選択の材料です。
天然歯のエナメル質に最も近い光学特性を持ち、詰め物と歯の境界が目立たない理想的な修復が可能です。
特に、残存歯質が多い症例では、その自然な馴染み方が際立ちます。

院長コメント

インレーには基本的にe-maxを選択します。
光の透過性が天然歯に極めて近く、部分修復では圧倒的に自然な仕上がりになります。

ジルコニアインレー - 高強度が必要な症例に

ジルコニアインレー

ジルコニアインレーの特徴

評価・内容
審美性〇(白いが透明感は限定的)
強度◎(セラミック最高レベル)
耐久性◎(破折リスク極小)
健康面◎(プラークが付着しにくい)
適応範囲大臼歯(強度重視)
費用(自費診療)
極めて強い咬合力がかかる症例や、歯ぎしりの激しい方には、ジルコニアインレーを選択する場合があります。
審美性ではe-maxに劣りますが、圧倒的な強度により長期的な安定性を確保できます。

院長コメント

ジルコニアインレーは限定的な使用に留めています。
強度は優れていますが、光の乱反射により周囲の歯との調和が難しい場合があるからです。

セレックインレー – インレー即日完成が可能

セレックe-maxインレーの特徴

評価・内容
審美性〇(CAD/CAM製作でも自然)
強度〇(e-maxの特性を維持)
耐久性〇(適切な管理で長期使用)
健康面◎(仮封期間なし)
適応範囲小臼歯~大臼歯
費用(自費診療)
セレックシステムを使用したCAD/CAM製作により、最短1日でインレー治療が完了可能です。
仮の詰め物期間がないため、歯への二次的なダメージを防げることが最大のメリットです。

セレックジルコニアインレーの特徴

評価・内容
審美性△(色調選択が限定的)
強度◎(高強度)
耐久性◎(長期安定)
健康面◎(即日完成で汚染防止)
適応範囲大臼歯
費用(自費診療)
強度を最優先する症例で、即日治療を希望される場合に選択します。
ただし、審美性の制限があるため、適応は慎重に判断します。

セラックガラスセラミックインレーの特徴

評価・内容
審美性〇(自然な白さ)
強度〇(ガラスセラミックの適度な強度)
耐久性〇(適切な使用で長期維持)
健康面◎(対合歯に優しい硬さ)
適応範囲小臼歯~大臼歯
費用(自費診療)
セラックシステムで使用するガラスセラミックブロックは、審美性と強度のバランスに優れた材料です。
天然歯に近い硬さのため、噛み合う歯を傷めにくく、適度な摩耗により長期的に安定した咬合を維持できます。
CAD/CAM製作により精密な適合も実現します。

院長コメント

セレックの価値は、仮封期間をなくせることです。
歯の汚染や追加ダメージを防げるため、歯の寿命を延ばす効果があります。

精密な適合へのこだわり

インレー治療の成否は、詰め物と歯の適合精度にかかっています。
わずか0.01mmの段差や隙間が、将来の二次カリエス(虫歯の再発)の原因となるのです。

日野歯科医院では、形成(歯を削る作業)、印象(型取り)、調整のすべての工程で妥協を許しません。
特に形成においては、B.O.P.T(ボプト)コンセプトの考え方を応用し、エナメル質との接着面を最適化。
さらに、歯科技工士との綿密な連携により、模型上でも口腔内でも完璧な適合を追求します。

「見た目が白ければ良い」という治療ではなく、「10年後、20年後も二次カリエスにならない」精密な治療。
それが、職人としての私たちの責任です。

インレー治療後の長期管理

セラミックインレーは、適切な管理により10年以上使用することが可能です。
しかし、そのためには定期的なメンテナンスが不可欠です。

咬合の変化による過度な負担、歯ぎしりによる摩耗、清掃不良による二次カリエス。
これらのリスクを早期に発見し、対処することで、インレーと残存歯質の両方を長期的に守ることができます。
日野歯科医院では、3~6ヶ月ごとの定期検診により、インレー治療の長期成功をサポートしています。

料金

種類価格(税込)
e-maxインレー大臼歯…88,000円
小臼歯…77,000円
ジルコニアインレー大臼歯…円
小臼歯…円
セレックe-maxインレー
セレックジルコニアインレー
セレックガラスセラミックインレー