審美歯科専用サイト 心斎橋、
四ツ橋駅からすぐ
審美歯科専用サイト 心斎橋、
四ツ橋駅からすぐ

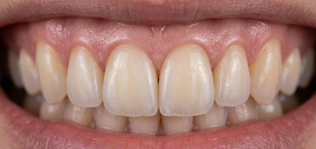
セラミッククラウンは、歯全体を覆う「被せ物(クラウン)」による修復治療です。
大きな虫歯、古い差し歯の交換、歯の形態改善など、幅広い症例に対応できる審美歯科の基本となる治療法です。
日野歯科医院では、ただ白い被せ物を装着するのではなく、「噛み合わせの精密な調整」と「歯茎との完璧な調和」を追求したセラミッククラウン治療を行っています。
特に、「B.O.P.T(ボプト)コンセプト」を採用することで、従来の治療法では実現できなかった歯茎の長期安定性を実現しています。
「矯正装置を何年もつけるのは避けたい」
「短期間で歯並びを改善したい」
という患者様の声は少なくありません。
セラミッククラウンなら、わずか2~3回の通院で、出っ歯やすきっ歯、歯のガタガタを改善することが可能です。
ただし、歯を削る必要があることや、症例によっては神経の処置が必要になる可能性など、リスクも含めて正直にご説明します。
患者様が本当に納得された上で、最適な治療計画を立案することが、日野歯科医院の基本姿勢です。

| 評価・内容 | |
|---|---|
| 審美性 | ◎(最高レベルの透明感と色調再現) |
| 強度 | ◎(ジルコニアの強度+セラミックの美しさ) |
| 耐久性 | ◎(10年以上の長期安定性) |
| 健康面 | ◎(B.O.P.T形成で歯茎の健康維持) |
| 適応範囲 | 前歯~小臼歯(審美性最重視) |
| 費用(自費診療) | 1本 198,000円(税込) |
前歯の審美修復における最高峰の治療法です。
内側の強固なジルコニアフレームが確実な強度を提供し、表面の精密に焼き付けられたセラミックが天然歯と見分けがつかない美しさを実現します。
B.O.P.Tコンセプトとの組み合わせにより、歯茎のラインも美しく整い、長期的な審美性を維持できます。

| 評価・内容 | |
|---|---|
| 審美性 | 〇(自然な色調グラデーション) |
| 強度 | ◎(単一素材による高強度) |
| 耐久性 | ◎(破折リスク最小) |
| 健康面 | ◎(プラークの付着が少ない) |
| 適応範囲 | 小臼歯~大臼歯 |
| 費用(自費診療) | 1本 165,000円(税込) |
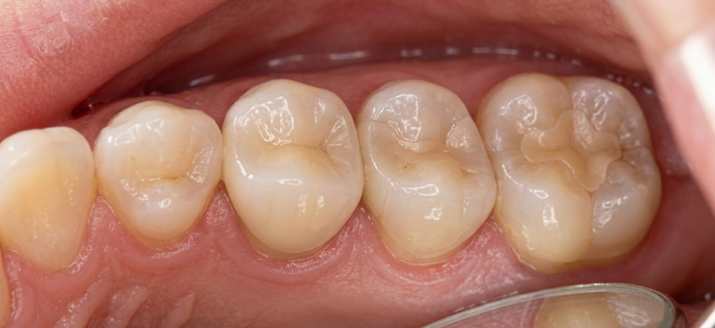
フルジルコニアに特殊な着色技術(シェーディング)を施すことで、単一素材でありながら自然な色調変化を実現しています。
強度を最優先しつつ、見た目の自然さも追求したい方に最適です。
奥歯でも見た目を重視される患者様が増えています。
シェーディング技術により、フルジルコニアでも自然な仕上がりが可能になりました。

| 評価・内容 | |
|---|---|
| 審美性 | △~〇(白いが透明感は限定的) |
| 強度 | ◎(最高レベルの強度) |
| 耐久性 | ◎(半永久的な耐久性) |
| 健康面 | ◎(歯周病予防効果) |
| 適応範囲 | 大臼歯(咬合力が強い部位) |
| 費用(自費診療) | 1本 143,000円(税込) |
人工ダイヤモンドにも使用されるジルコニアのみで作製。
咬合力が最も強い大臼歯において、破折のリスクを低減します。
色調は限定的ですが、その分コストパフォーマンスに優れています。
奥歯こそ、しっかり噛めることが最重要。
強度を最優先し、長期的な機能維持を実現します。
これが私の考える機能美です。

| 評価・内容 | |
|---|---|
| 審美性 | ◎(天然歯に最も近い透明感) |
| 強度 | 〇(日常使用には十分) |
| 耐久性 | 〇(適切な管理で長期使用可能) |
| 健康面 | ◎(歯質との親和性抜群) |
| 適応範囲 | 前歯~小臼歯 |
| 費用(自費診療) | 円 |
二ケイ酸リチウムガラスセラミックの持つ優れた光学特性により、単冠(1本だけの治療)で周囲の天然歯との調和が求められる場合に特に有効です。
光の乱反射が少なく、極めて自然な仕上がりを実現します。
e-maxは天然歯のエナメル質に最も近い光の透過性を持ちます。
周囲の歯が天然歯の場合、この素材の自然さは圧倒的です。

| 評価・内容 | |
|---|---|
| 審美性 | △(色調の選択肢が限定的) |
| 強度 | ◎(ジルコニアの高強度) |
| 耐久性 | ◎(長期的な安定性) |
| 健康面 | ◎(生体親和性良好) |
| 汚れの付きにくさ | 〇(プラークが付着しにくい) |
| 適応範囲 | 前歯△、小臼歯△、大臼歯○ |
| 費用(自費診療) | 円 |
セレックシステムのCAD/CAM技術により、院内で即日製作可能なジルコニアクラウンです。
型取りから装着まで最短1日で完了するため、仮歯期間による歯へのダメージを最小限に抑えられます。
ただし、色調の微調整には限界があるため、主に奥歯での使用を推奨しています。
| 評価・内容 | |
|---|---|
| 審美性 | 〇(自然な透明感) |
| 強度 | 〇(前歯・小臼歯には十分) |
| 耐久性 | 〇(適切な咬合で長期使用可能) |
| 健康面 | ◎(天然歯に優しい) |
| 汚れの付きにくさ | 〇(滑沢な表面性状) |
| 適応範囲 | 前歯△、小臼歯○、大臼歯× |
| 費用(自費診療) | 円 |

| 種類 | 価格(税込) |
|---|---|
| オールセラミック (ジルコニアコーピング) | 198,000円 |
| オールセラミック (フルジルコニア+シェーディング) | 165,000円 |
| オールセラミック (フルジルコニア) | 143,000円 |
| e-maxクラウン | 円 |
| セレッククラウン (ジルコニア) | 円 |
| セレッククラウン (e-max) | 円 |
| パーシャルベニア クラウン(e-max) | 円 |
| パーシャルベニアクラウン (ジルコニア) | 円 |


