審美歯科専用サイト 心斎橋、
四ツ橋駅からすぐ
審美歯科専用サイト 心斎橋、
四ツ橋駅からすぐ


| 評価・内容 | |
|---|---|
| 審美性 | 〇(白く清潔感のある仕上がり) |
| 強度 | ◎(ブリッジに最適な強度) |
| 耐久性 | ◎(破折リスクが極めて低い) |
| 健康面 | ◎(プラークが付着しにくい) |
| 適応範囲 | 全部位(特に大臼歯部) |
| 費用(自費診療) | 円 |

| 評価・内容 | |
|---|---|
| 審美性 | ◎(天然歯のような透明感) |
| 強度 | ◎(ジルコニアフレームによる高強度) |
| 耐久性 | ◎(長期安定性に優れる) |
| 健康面 | ◎(生体親和性抜群) |
| 適応範囲 | 前歯~小臼歯 |
| 費用(自費診療) | 円 |
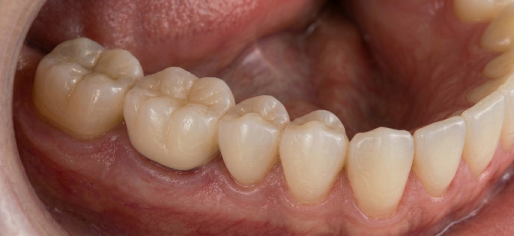
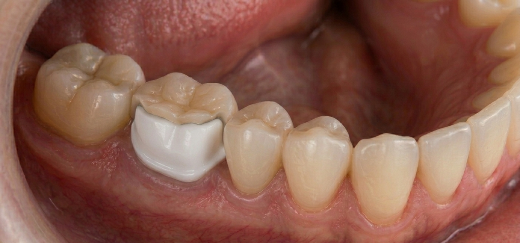
ブリッジ治療で見落とされがちなのが、欠損部(ポンティック)の形態設計です。
単に「歯の形」を作るのではなく、以下の要素を緻密に計算する必要があります。
これらすべてを満たすポンティック形態を作り上げることが、長期的に成功するブリッジの条件です。
日野歯科医院では、模型上での綿密なシミュレーションと、口腔内での細かな調整を繰り返し、理想的な形態を追求します。
ブリッジは両隣の歯に負担をかける治療です。
だからこそ、支台歯の健康を最大限守る設計が不可欠です。
日野歯科医院では、咬合力の分散を計算し、支台歯への負担を最小限に抑える設計を行います。
また、B.O.P.Tコンセプトにより、支台歯の歯茎の健康も長期的に維持。
さらに、定期的なメンテナンスで咬合調整を行い、支台歯の寿命を最大限延ばす努力を続けています。
「ブリッジを入れて終わり」ではなく、「ブリッジと共に、残った歯を一生守る」。
それが私たちの治療理念です。
| 種類 | 価格(税込) |
|---|---|
| ジルコニアブリッジ | 円 |
| ジルコニアコーピング+セラミックブリッジ | 円 |


